Big Joe Goes To The Doctor

Big Joe_Doc-13

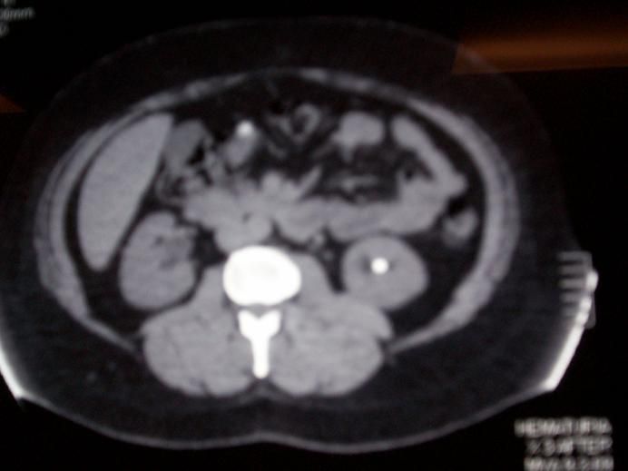
Okay…I talked about it yesterday.  I went to the Doctor and had that ” man procedure” to look inside my bladder with a scope!  Ouch!  It was not the most fun I’ve ever had on a Tuesday afternoon, but necessary.   I was pleased that the Doctor allowed me to take a few pics for the website to share with you.   Check out the pics here!

So guys…if you’re having some issues with your plumbing as minor as it may seem, be a big boy and have it checked out!  Looks like I have a Kidney stone!  Can’t wait til I can take a few pics of that operation to show you!

Posted in Big Joe.

One Comment

Comments are closed.